W przypadku znacznych ubytków w zębie lub nie dających się wybielić przebarwień, w celu przywrócenia funkcji i estetyki stosujemy korony ceramiczne. Jest to dość przewidywalna metoda dająca znakomite efekty w krótkim czasie. Przy prawidłowych funkcjach reszty uzębienia korony są rozwiązaniem na długie lata. Poniżej kilka przykładów zastosowań koron pełnoceramicznych:
1. Ząb przebarwiony ze zniszczonym szkliwem:
2. Ząb złamany- korona z odbudową włóknem szklanym:
3. Korona na przetrwałym zębie mlecznym (przy braku zawiązka zęba stałego):
4. Wymiana starej korony na nową ze względów kosmetycznych oraz koronowanie zęba sąsiedniego z zepsutym i leczonym szkliwem:
5. Wymiana starych zniszczonych koron na nowe w siekaczach:
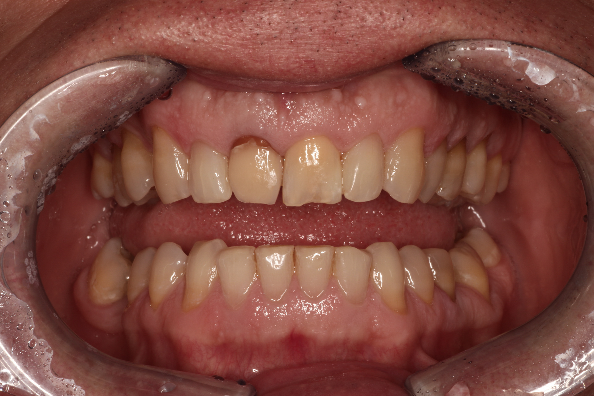
6. Odbudowa całego łuku zębowego z użyciem koron:
7. Poprawa defektów funkcjonalnych i kosmetycznych:
8. Zęby mocno przebarwione:
9. Zęby przebarwione, które były wybielane, ale efekt nie był zadowalający:
10. Zęby przebarwione:
11. Defekty kosmetyczne siekaczy górnych:
12. Wymiana starej korony w siekaczu górnym-etap korony tymczasowej i ostatecznej:
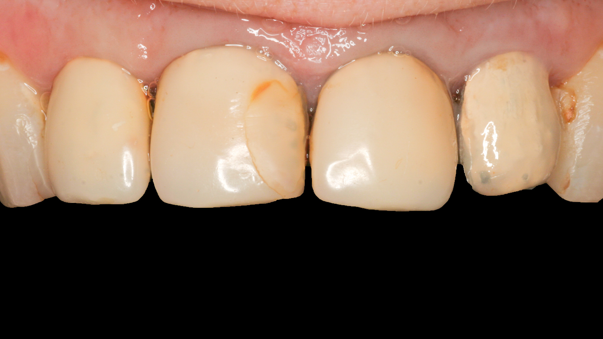
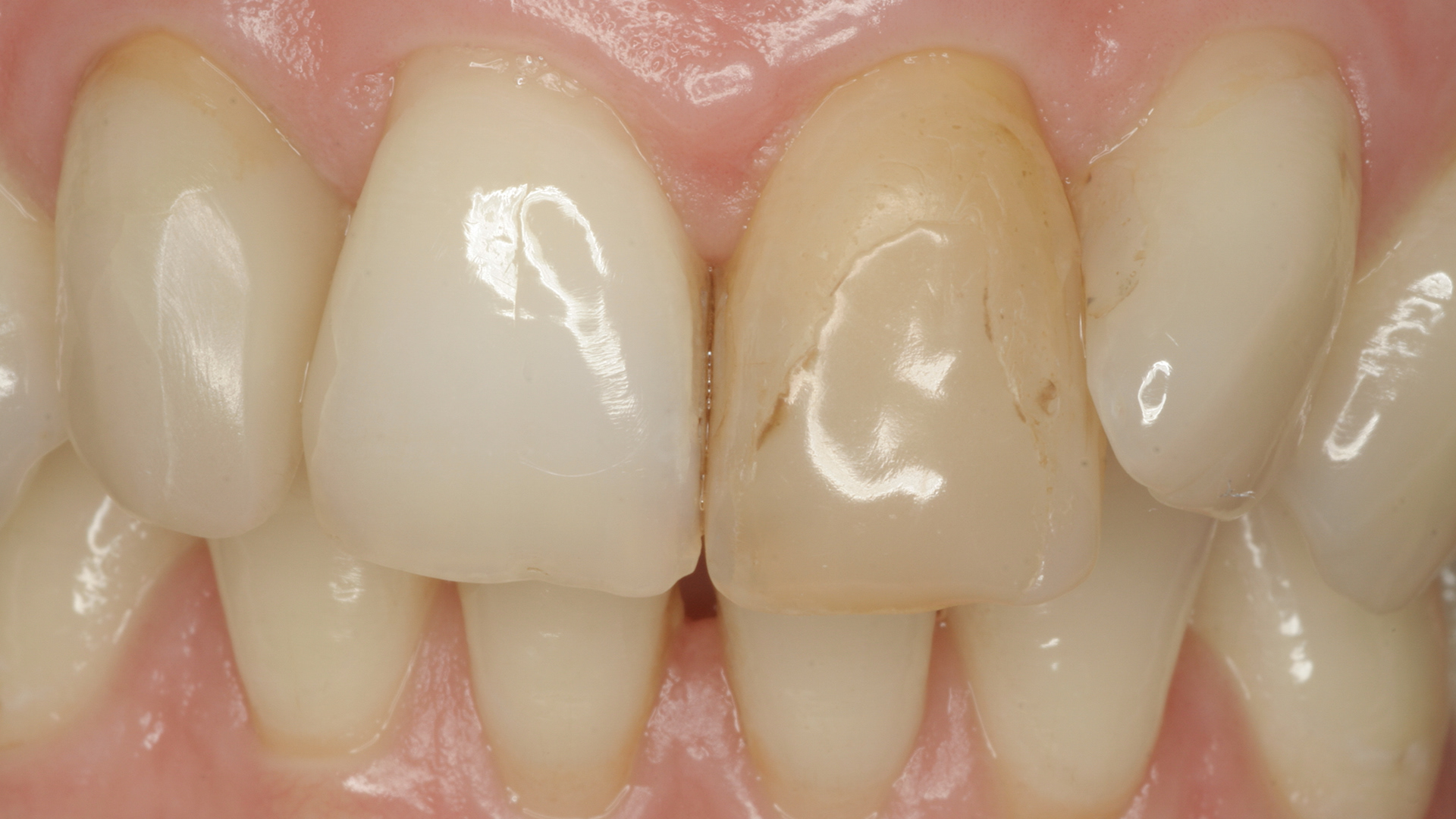
13. Wymiana nieestetycznej korony w siekaczu górnym:
14. Wymiana nieestetycznej korony w siekaczu górnym:
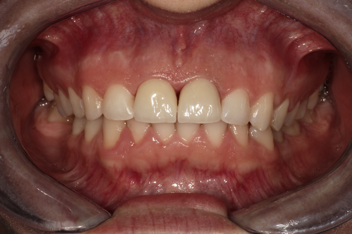
15. Naprawa siekaczy górnych koronami pełnoceramicznymi:
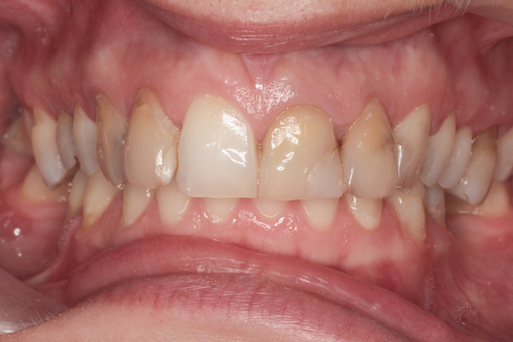
16. Mocno przebarwione siekacze:
Back to Top