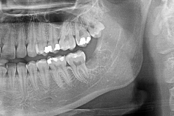
"Czy należy usuwać zęby mądrości?"- to często pojawiające się w gabinecie stomatologicznym pytanie. Każdy przypadek warto rozważyć indywidualnie, ale w większości odpowiedź brzmi: "tak". Wynika to z faktu, że ósemki często generują problemy samą swoją obecnością w jamie ustnej- niekoniecznie dlatego, że są popsute. U wielu osób zdarza się, że po prostu brakuje przestrzeni w szczęce lub żuchwie, dla prawidłowego wyżynania się i pozycjonowania tych zębów. W tym wypadku ósemki górne wrastają w policzki, a dolne blokują się pomiędzy kątem żuchwy a siódemkami dolnymi. Powoduje to po pierwsze, że zęby te generują znaczne siły działające na zęby sąsiednie często prowadząc do zniszczenia ich korzeni. Ponieważ dzieje się to w kości czasem trudno pacjentowi w porę wyczuć ten problem i dochodzi do utraty bardzo istotnych zębów nr 7. Po drugie może utrudniać higienizację ósemek, ale i siódemek co prowadzi do szybko rozwijającej się próchnicy. Po trzecie może prowadzić do stłoczenia zębów lub wykrzywiania ich w całym łuku zębowym. Kolejnym problemem może być często pojawiający się bolesny stan zapalny dziąsła- ponad rosnącą ósemką tworzy się kaptur z błony śluzowej, który zostaje zainfekowany przez zalegające bakterie z resztek pokarmowych. Nieprawidłowa pozycja ósemek sprzyja także przygryzaniu policzków co może prowadzić do powstawania w miejscach urażanych tzw. leukoplakii. Jest to schorzenie objawiające się białym rogowaceniem nabłonka jamy ustnej, a znaczny odsetek tych zmian przekształca się w nowotwór. Kolejnym przykładem na problem generowany pozostawionymi zębami mądrości są tzw. torbiele zawiązkowe powstające na bazie zawiązków tych zębów. Torbiele te nie wykryte w porę, poprzez rozrost, prowadzą do znacznych ubytków kości co grozi złamaniami np żuchwy.
Jak widać sporo jest argumentów za usuwaniem zębów mądrości, a mało przeciw- zęby te są mało istotne jeśli chodzi o funkcje żucia. Rzadko także przydają się jako filary leczenia protetycznego.
PRZYKŁAD 1





PRZYKŁAD 2




PRZYKŁAD 3




