Utrata zębów to problem estetyczny i funkcjonalny. Nawet pojedyncze braki zębowe powodują komplikacje- zęby sąsiednie i przeciwstawne zaczynają się przemieszczać w powstałą lukę, a dodatkowo przejmują dodatkowe obciążenia tzn. siły, które oddziaływały na ząb zanim został usunięty. Warto więc po usunięciu uzupełnić taki ząb.
Są dwie rozsądne metody wstawiania pojedynczych zębów: mosty oparte na sąsiednich zębach własnych oraz korony na implantach.
Zaletą mostów w tym zestawieniu jest ich niższa cena, szybkość wykonania. Wadą zaś- brak możliwości nitkowania filarów i fakt, że zęby filarowe trzeba oszlifować. Jeśli są to całkiem zdrowe zęby jest to niekorzystne. Przykłady takich prac można obejrzeć tutaj:
Alternatywą dla mostów są implanty, które pozwalają uzyskać całkowicie nowy ząb bez ingerencji w zęby sąsiednie. Mogą być zatem czyszczone nitką po obu stronach, lepiej prezentują się w strefach estetycznych. Ich wady to wyższa cena, dłuższy czas leczenia i wrażliwość na niedostateczną higienizację. Poniżej zamieszczam kilka przykładów wstawiania zębów za pomocą implantów.
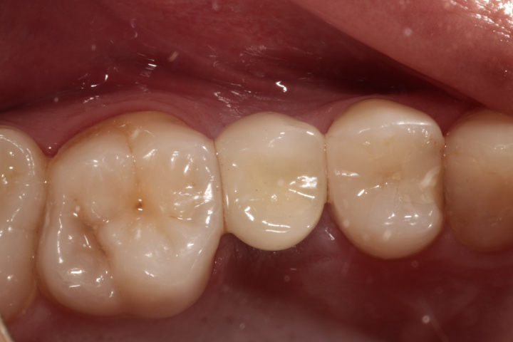
PRZYPADEK 1
Jest to standardowa procedura wszczepiania implantu i jego odbudowy ze wszystkimi etapami pośrednimi począwszy od usunięcia zęba do cementowanej korony.










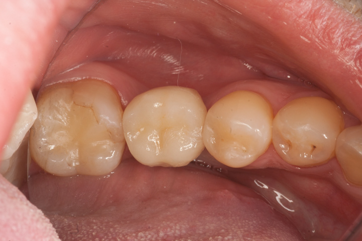
PRZYPADEK 2



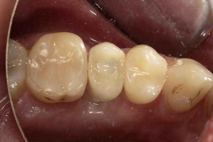
PRZYPADEK 3



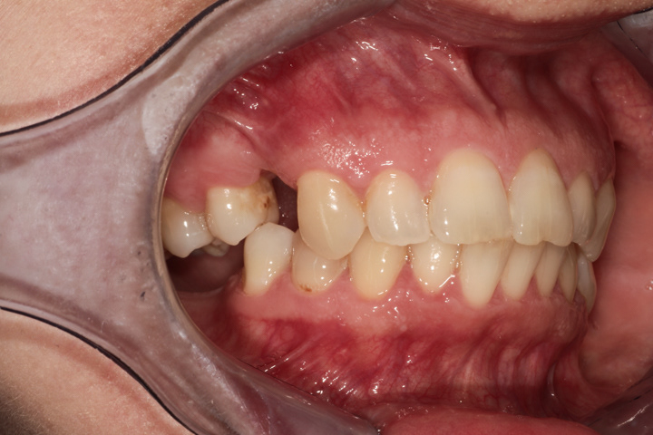
PRZYPADEK 4



PRZYPADEK 5
Przykłady poniżej różnią się tym, że korona jest przykręcana a nie cementowana. Po dokręceniu korony otwór jest maskowany kompozytem. Z punktu widzenia trwałości takich uzupełnień jest to lepsza opcja od koron cementowanych, ponieważ trudne do oczyszczenia resztki cementu mogą prowadzić do zapalenia dziąsła na przestrzeni lat.



PRZYPADEK 6






PRZYPADEK 7









PRZYPADEK 8





PRZYPADEK 9


PRZYPADEK 10






PRZYPADEK 11
Poniżej przykład implantacji natychmiastowej tzn. takiej gdzie implant zostaje wszczepiony zaraz po ekstrakcji uszkodzonego zęba. Zaletą tej metody jest fakt, że zamiast dwóch zabiegów chirurgicznych, jest jeden.






PRZYPADEK 12


