• MENU
  • O NAS
  • GALERIA
  • TECHNOLOGIA
  • INSTRUKTAŻ HIGIENY
  • CENNIK
  • GWARANCJA
  • INFORMACJA DLA INWALIDÓW
  • KONTAKT
  • E-MAIL
  • Q&A
  • • korona pełnoceramiczna
  • • postępowanie po urazie
  • • jak przygotować dziecko do wizyty stomatologicznej
  • • pojedynczy implant w odcinku bocznym
  • • ósemki- usuwać czy nie?
  • • mosty i korony w odcinkach bocznych
  • • implant w odcinku bocznym z podniesieniem zatoki
  • • implant w odcinku przednim
  • • kolejność wyrzynania się zębów stałych
  • • wypełnienia kompozytowe
  • • proteza na implantach
  • • resekcja korzenia
  • • wybielanie zębów
  • • endodoncja- leczenie kanałowe
  • • mosty pełnoceramiczne
  • • onlay
Paweł Miazga
Welcome to my portfolio Welcome to my portfolio
  • MENU
  • O NAS
  • GALERIA
  • TECHNOLOGIA
  • INSTRUKTAŻ HIGIENY
  • CENNIK
  • GWARANCJA
  • INFORMACJA DLA INWALIDÓW
  • KONTAKT
  • E-MAIL
  • Q&A
  • • korona pełnoceramiczna
  • • postępowanie po urazie
  • • jak przygotować dziecko do wizyty stomatologicznej
  • • pojedynczy implant w odcinku bocznym
  • • ósemki- usuwać czy nie?
  • • mosty i korony w odcinkach bocznych
  • • implant w odcinku bocznym z podniesieniem zatoki
  • • implant w odcinku przednim
  • • kolejność wyrzynania się zębów stałych
  • • wypełnienia kompozytowe
  • • proteza na implantach
  • • resekcja korzenia
  • • wybielanie zębów
  • • endodoncja- leczenie kanałowe
  • • mosty pełnoceramiczne
  • • onlay

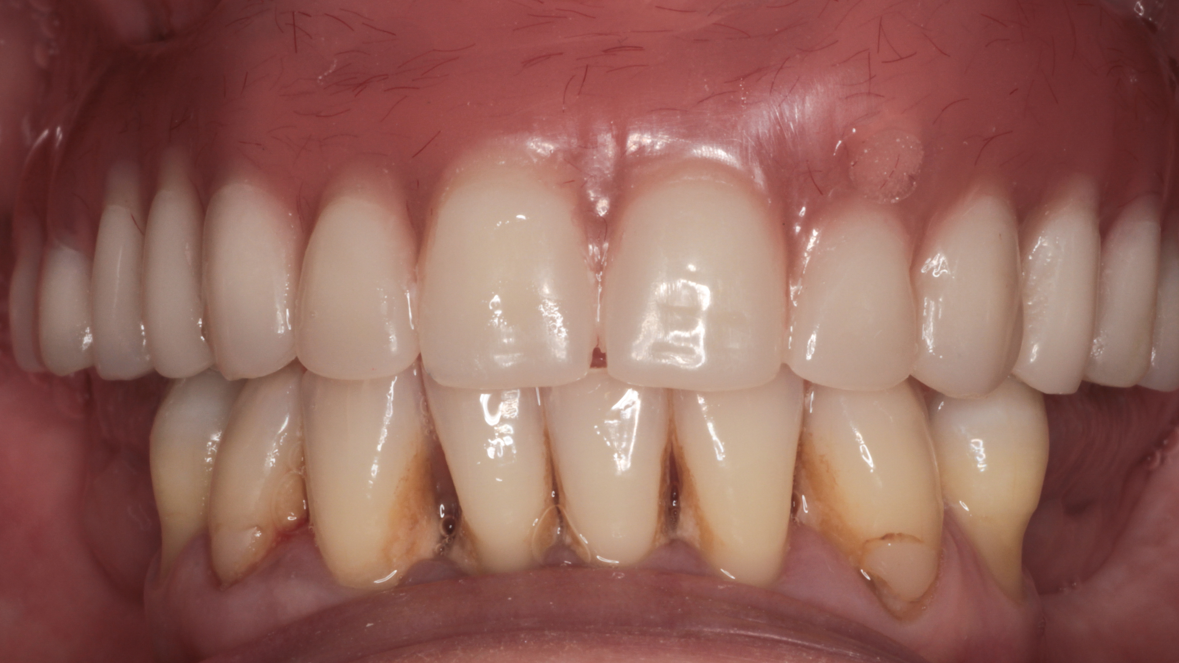
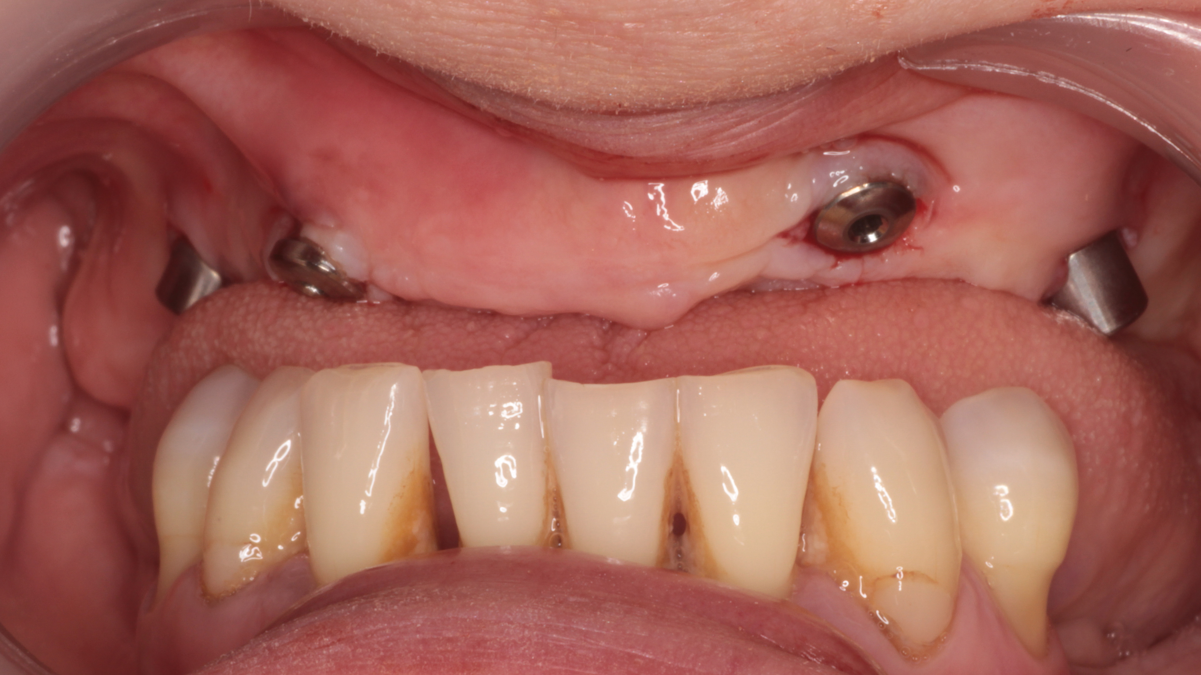
• proteza na implantach

Implanty mogą służyć jako sztuczny korzeń do odbudowy pojedynczych zębów, ale także jako elementy utrzymujące protezy zębowe (przykład poniżej)
↑Back to Top
Miazga- Stomatologia Mikroskopowa